Sinata.id
  • Indeks
  • Headline
  • News
    • Nasional
    • Regional
    • Dunia
    • Pematangsiantar
    • Simalungun
  • Trending
  • Bisnis
    • Investasi
    • Keuangan
  • Sports
    • Bola
      • Liga Champions
      • Liga Inggris
      • Liga Italia
      • Liga Spanyol
  • Teknologi
    • AI
    • Aplikasi
    • Gadget
    • Game
  • Rileks
    • Gaya Hidup
    • Kesehatan
    • Entertainment
      • Seleb
    • Kolom
      • Religi
  • Wisata
No Result
View All Result
Sinata.id
No Result
View All Result
Sinata.id
No Result
View All Result
  • INDEKS
  • Headline
  • News
  • Trending
  • Regional
  • Nasional
  • Bisnis
  • Sports
  • Entertainment
  • Teknologi
  • Wisata
  • Religi

Kasus Aneh, Dumbel 2 Kg Dicabut dari Dubur Pria

Editor: Redaksi Sinata 2
4 Oktober 2025 | 00:37 WIB
Rubrik: Dunia
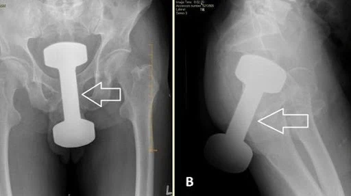
kasus medis langka yang bikin heboh. (foto: cureus journal)

Kasus medis langka yang bikin heboh. (foto: Cureus Journal)

AS, Sinata.id – Sebuah dumbel gym seberat 2,2 kilogram berhasil dikeluarkan dari dalam rektum seorang pria berusia 50 tahun di Pennsylvania, Amerika Serikat, setelah tersangkut selama beberapa jam. Kasus tidak biasa ini dipublikasikan dalam jurnal medis Cureus.

Kejadian berawal ketika pria tersebut tiba di unit gawat darurat dengan keluhan nyeri perut bagian bawah yang dialaminya selama empat jam.

Ia mengaku rasa tidak nyaman itu muncul setelah melakukan “praktik seksual yang tidak lazim”.

Tim medis kemudian melakukan serangkaian pemeriksaan. Pemeriksaan rektal menemukan benda logam keras, sementara radiografi menunjukkan bayangan benda asing berbentuk dumbel di panggul pasien. Tim bedah segera dikonsultasikan.

Proses Pengeluaran Tanpa Operasi

Beruntung,benda tersebut berhasil dikeluarkan tanpa prosedur pembedahan. Pasien hanya diberikan obat penenang ringan agar tetap sadar namun rileks.

Dengan bantuan dokter yang menekan perut pasien untuk mendorong dumbel, akhirnya benda itu dapat dikeluarkan.

Kondisi Pasien Stabil dan Sudah Dipulangkan

Setelah prosedur,kondisi pasien dilaporkan stabil. Otot duburnya masih berfungsi baik meski terdapat sedikit pendarahan.

Setelah dipantau selama enam jam di IGD dan dinyatakan tidak lagi mengalami nyeri, mampu makan, dan buang air kecil dengan normal, pasien akhirnya diizinkan pulang. (A58)

Berita Terkait

jepang alami musim panas terpanas dalam sejarah. lebih dari 100 ribu warga harus dilarikan ke rumah sakit akibat heat stroke sepanjang mei–september 2025.
Dunia

Heat Stroke Jadi Momok Mematikan di Jepang, Puluhan Ribu Orang Masuk Rumah Sakit

Editor: Ariami Tambunan
2 Oktober 2025 | 19:34 WIB

Sinata.id - Gelombang panas ekstrem yang melanda Jepang tahun ini berubah menjadi bencana kemanusiaan. Data resmi Badan Pemadam Kebakaran dan...

Baca SelengkapnyaDetails
dua pesawat di bandara internasional laguardia tabrakan. foto: ist
Dunia

Ngeri! Dua Pesawat Tabrakan di Bandara

Editor: Redaksi Sinata 2
2 Oktober 2025 | 17:51 WIB

Dua pesawat jet milik maskapai Endeavor Air, anak perusahaan Delta Air Lines, bertabrakan di taxiway Bandara LaGuardia, New York, Rabu...

Baca SelengkapnyaDetails
jembatan huajiang grand canyon didapuk tertinggi di dunia. facebook
Dunia

Tertinggi di Dunia, Jembatan Huajiang Pangkas Waktu Tempuh 2 Jam jadi 2 Menit

Editor: Redaksi Sinata 2
2 Oktober 2025 | 17:24 WIB

China, Sinata.id - Jembatan tertinggi di dunia, Jembatan Huajiang Grand Canyon, resmi dibuka di Provinsi Guizhou, China. Jembatan ini secara...

Baca SelengkapnyaDetails
gempa bumi landa filipina. (facebook)
Dunia

Korban Tewas Gempa Filipina Bertambah jadi 72 Orang

Editor: Redaksi Sinata 2
2 Oktober 2025 | 17:11 WIB

Filipina, Sinata.id - Jumlah korban tewas akibat gempa bumi berkekuatan Magnitudo 6,9 yang mengguncang Cebu, Filipina, telah mencapai 72 orang....

Baca SelengkapnyaDetails
bukan hanya siluman, ini rahasia kecanggihan avionik jet tempur su-57. ist
Dunia

Fakta Su-57, Jet Siluman Rusia yang Bikin Barat Waspada

Editor: Redaksi Sinata 2
2 Oktober 2025 | 16:53 WIB

Rusia, Sinata.id - Untuk pertama kalinya dalam beberapa dekade, supremasi udara Amerika Serikat yang diwakili oleh jet tempur siluman F-22...

Baca SelengkapnyaDetails

Berita Terbaru

News

110 Siswa di Purworejo Keracunan Massal Usai Santap MBG

4 Oktober 2025 | 01:08 WIB
Dunia

Kasus Aneh, Dumbel 2 Kg Dicabut dari Dubur Pria

4 Oktober 2025 | 00:37 WIB
Pematangsiantar

Nilai Wali Kota Siantar Kurang Sehat, Akademisi Sebut Fraksi Golkar Lampaui Fungsi DPRD

3 Oktober 2025 | 22:55 WIB
Pematangsiantar

Daftar Lengkap 51 Pejabat Pemko Siantar yang Dilantik

3 Oktober 2025 | 22:24 WIB
Pematangsiantar

Sekda Siantar Lantik Pejabat Eselon 3-4, Ada yang Non Job dan Demosi

3 Oktober 2025 | 22:12 WIB
Simalungun

Kadis Pemuda dan Olahraga Simalungun Benarkan Mundur dari Jabatan

3 Oktober 2025 | 21:12 WIB
Pematangsiantar

Surat Camat Siantar Marihat Membuat Warga Merasa Seperti Diteror

3 Oktober 2025 | 21:08 WIB
Pematangsiantar

Ternyata Ini Modus Mereka Menyembunyikan Sabu dari Polisi

3 Oktober 2025 | 19:27 WIB
Simalungun

Satu Orang Ditahan Terkait Meninggalnya Warga di Kebun Sawit PTPN IV

3 Oktober 2025 | 18:39 WIB
Regional

Pondang Hasibuan: “Integritas Hakim Harus Diukur dengan Sistem yang Objektif, Bukan Bisik-Bisik”

3 Oktober 2025 | 18:16 WIB
Regional

Polres Pakpak Bharat Siap Kawal Aksi Damai, 6 Oktober Kantor Bupati Jadi Titik Panas

3 Oktober 2025 | 18:15 WIB
News

Musala Ambruk Saat Santri Sedang Sujud? Keluarga Korban Al Khoziny Ikhlas

3 Oktober 2025 | 17:44 WIB
  • Indeks
  • Pedoman
  • Privacy
  • Redaksi
  • ToS
  • News Map
  • Site Map
Seedbacklink

© 2025

logo sinata id new


PT. SINAR KEADILAN UTAMA (SINATA)
Jl. Merpati V No 2, Kelurahan Pesanggrahan, Kecamatan Pesanggrahan, Jakarta Selatan, DKI Jakarta, 12320.

ALAMAT REDAKSI
Jl. Pdt. Justin Sihombing No. 162, Kelurahan Siopat Suhu, Kecamatan Siantar Timur, Pematangsiantar, 21139, Sumatera Utara.

📧 redaksisinata @ gmail.com

No Result
View All Result
  • Indeks
  • Headline
  • News
    • Nasional
    • Regional
    • Dunia
    • Pematangsiantar
    • Simalungun
  • Trending
  • Bisnis
    • Investasi
    • Keuangan
  • Sports
    • Bola
      • Liga Champions
      • Liga Inggris
      • Liga Italia
      • Liga Spanyol
  • Teknologi
    • AI
    • Aplikasi
    • Gadget
    • Game
  • Rileks
    • Gaya Hidup
    • Kesehatan
    • Entertainment
      • Seleb
    • Kolom
      • Religi
  • Wisata

© 2025

logo sinata id new


PT. SINAR KEADILAN UTAMA (SINATA)
Jl. Merpati V No 2, Kelurahan Pesanggrahan, Kecamatan Pesanggrahan, Jakarta Selatan, DKI Jakarta, 12320.

ALAMAT REDAKSI
Jl. Pdt. Justin Sihombing No. 162, Kelurahan Siopat Suhu, Kecamatan Siantar Timur, Pematangsiantar, 21139, Sumatera Utara.

📧 redaksisinata @ gmail.com

Sinata.id